Profile
Sharon Sneddon
My CV
-
Read more
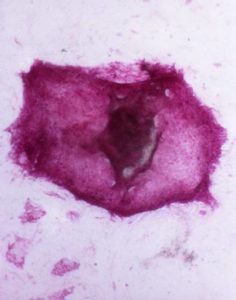
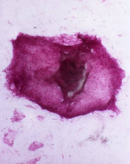
I am a scientist at the University of Manchester and I work several different projects. I am trying new and exciting ways to create Human Embryonic Stem Cells that could possibly be used to help treat diseases like Parkinson’s and diabetes, as well as helping patients with spinal cord injuries (like Superman)
.
As well as this, I look inside very early embryos to see different genes that control their growth and development and I am also investigating a new protein which could be used as a treatment for breast cancer
.
I like the idea that the work I do in the lab could help people suffering from various illnesses in the future. My job is really good fun and I can’t imagine doing anything else! -
My Typical Day:
Experiments, results, coffee breaks 🙂
-
Read more
Well, in my job, no two days are the same. That is one of the things I like most about my work, the variety of it all. I normally start my day by writing a “to-do” list and plan all the experiments I need to do that day.
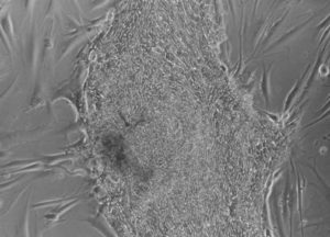
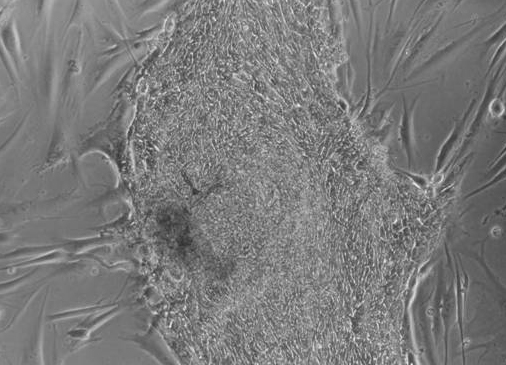
A lot of my time is spent in a room we call “Tissue Culture” which is where we grow cells and embryos in incubators.

The cells and embryos are rather fussy and demanding so we need to keep them at certain temperatures, with a particular amount of oxygen and carbon dioxide. They also have to be kept super clean and free of any infections which is why we keep them in a special room!

I also help to train new staff and students that come into the lab and I really enjoy this part of my job. The labs that I work in are really friendly fun places and there is always lots of chatting and laughter in the labs. We have meetings every week where we all get together and talk about the results we have. I like these meetings as we take it in turns to bring in cakes and biscuits to have in the meetings!
As well as carrying out my experiments, I have to record what I have done, and whether or not it has worked. I normally do this at the end of the day before I go home!
-
What I'd do with the prize money:
I would like to travel around schools with my Stem Cell Workshop to show you guys exactly what I do all day!
-
My Interview
-
How would you describe yourself in 3 words?
Funny, Clumsy, Scottish
Were you ever in trouble at school?
Nope, I was a real goody two shoes. I did get into trouble because I threw someones French workbook out of a window, it was a total accident but the teacher didn’t believe me :(
Who is your favourite singer or band?
Too many to choose from! I like all sorts of music, especially stuff from way back in the 1980’s. I am currently loving the new Gorillaz song and the Glee soundtrack, total opposites!!!
If you had 3 wishes for yourself what would they be? - be honest!
1. I wish I could sing. 2. I wish I could find a cure for diseases like cystic fibrosis and cancer. 3 I wish I could go into space, just to see what it was like!
Tell us a joke.
Why didn’t the skeleton go to the party? Because he had no body to go with!
-